덴티크치과 주요 진료과목
다양한 임상 경험과 전문성을 바탕으로 결과까지 설계하는 정밀 진료를 제공합니다.
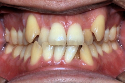
환자의 일상을 바꾸는 진료 철학
편안함과 완성도를 설계하는 치과, 덴티크치과
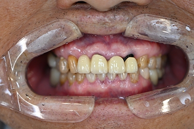
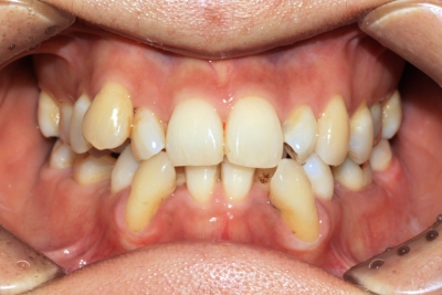
덴티크는 단순히 아픈 곳을 치료하는 것이 아니라, 환자 한 분의 생활과 고민을 이해하고
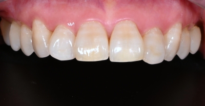
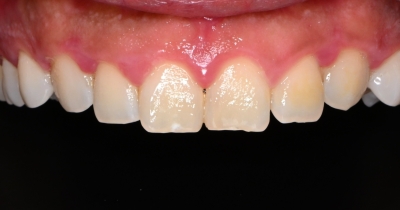
시간이 지나도 자연스러운 결과를 설계하고 있습니다. 덴티크는 진단부터 마무리까지, 과잉 없이 정직하게 진료합니다.
덴티크치과와 함께 알아보는 치과 이야기
덴티크 의료진이 직접 알려주는
솔직담백한 치과 이야기
-
나한테 맞는 치과 고를 때 이건 꼭 확인하세요!
-
치과 의사가 말하는 좋은 치과를 찾기 위한 리뷰 확인 꿀팁!
-
[치과 과잉 진료 체크리스트] 이것만 확인해도 피해갈 수 있습니다!
-
치아 고민 끝! 라미네이트와 임플란트, 어떤 시술이 내게 맞을까?
-
비싸야 제대로 된 치료라고? 치과 가격 '이것' 확인하세요.
-
치과의사가 치과 선택할 때 꼭 확인하는 단 한 가지! 바로 이것입니다.
-
좋은 치과 선택하고 싶다면 설명만 듣지 말고, 반드시 이걸 확인하세요!
-
경력 많은 의사 vs 최신 치료법 아는 의사 누가 더 잘할까?
-
치과 리뷰, 이것만 봐도 진짜인지 아닌지 구분할 수 있다고?
-
치과 리뷰, 진짜와 가짜 구분법 알려드림!
-
전문의들이 말해주는 치과를 결정할 때 꼭 확인해야 할 단 한가지!
-
좋은 병원, 리뷰로 찾아낼 수 있을까? 전문의들의 의견은?
-
치과 치료 결정 전에 반드시 기억해야 할 사실!
-
CT 촬영 꼭 해야 하나요? 과잉진료 의심해보세요!
-
치과에서 반드시 받아야 한다는 CT와 X-ray 검사, 그 이유는?
-
치과 의사가 말하는 임플란트와 발치 시점의 모든 것!
-
치과의사가 말하는 임플란트 오래 쓰는 완벽한 구강 관리
-
치과의사가 말하는 무삭제 라미네이트의 진실!
-
임플란트 평생 쓸 수 있을까? 관리법 공개!
-
치아 다 깎는 라미네이트? 사실과 오해, 끝장 정리!
